色々ある土曜日
朝からインプラントセット
暮れにオペ抜歯即時、2ヶ月でセット




次は数年前他院で根切したが、また再発し口蓋が腫れてる
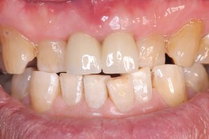
被せ物は6本ジルコニア連結
代診医から代わり、私が探り意図的穿通💪No.2
リーマ100号に相当、径0.95ミリ位
白のファイバーだから見え難い
多量に排膿と出血

画像からも分かるが、根切断カット長さ、掻爬、殺菌が不十分だったのでは!
これで3回目の治療だそうだ😭
折角のジルコニアは外さずに処置
根管治療4ヶ月くらいで良い結果でますよ
舌側病変も消える!
経験から予測出来る、先が見える須田くん🤪
アレの心だけは見えぬ😭


神奈川歯科大学OB長尾論文より
ご覧のとおり、ラルゴでは短く到達しないが
マニーだと余裕で穿通する
エンドバキュームは重宝サクション

長尾先生感謝申し上げます
次は定期検査、変化を診る楽しみがある

次の病変、若い年齢です、しっかり治癒に導きたいね

他にもあるが割愛、土曜日は、色々な症例あるから嬉しい🥹
臨床医GP故の、やり甲斐ワクワクを感じる1日でした
新宿はマアマアの美人が多いから、刺激あり身が引き締まりますよ💪ヤルゼ💪
明日から2連休ユックリします

ナイスショット👍👍👍
