CTG
午前は、インプラントオペ
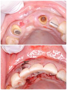
conbination tissue graft 上結節から結合組織採取
後にスーパーボンドでカバー
これがベストなやり方、痛みがない
スーパーボンドは万能


CK2ナイフにて、エンベロップ切開、カンガルーの袋作る
このような、軟組織のマネージメント移植やら仮歯、暫間インプラント、即時荷重料金も無し
患者さんが選択した47万コースには、CT撮影、診断からの全てインプラント料金に含まれているから、かなりお得で安い❗️🤪
価格が高い!とは、費用対効果年数が見合わない物に言うのである 私の持論です
10年から20年で日割りすれば、安い
長持ちしますが、セコイ方はやらない
美味しい食材沢山あり、アレは硬いからダメ、柔らかい食材しか食べられない等は、壮年以降は言いたくないよね😭
綺麗になり、機能性ありと!
日本国では、自己投資しないと良くはならないのが現実
40万コースは違うメーカーで埋入のみ、軟組織の処置は無し、仮歯は前歯領域隣接歯に固定ダミーだけ
1番上のコースはAGCガルバーノテレスコープ、ロングスパンのブリッジやらフルマウス症例時のみ、仮セメントは不要だが、技工代金が非常に高い😱

昼は一階にある蕎麦屋
セリとネギ 鴨出汁蕎麦 非常に味が染み込んで美味い

午後はゆっくりやろう!
