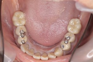
本日は、朝よりインプラントの最終セット
治療は、3月から上顎開始 5本の開洞は全てデンサーバーによるもの 8月最終日に終了出来て良かった、良かった!
今後はメンテナスし長期安定を目指して頑張りましょう! やり甲斐MAX!
須田寛昌
2026.03.03
2026.02.28
2026.02.26
2026.02.24
2026.02.21
2026.02.20
2026.02.19
2026.02.18
2026.02.17
2026.02.16
2026年 (35)
2025年 (163)
2024年 (3)
2023年 (2)
2022年 (120)
2021年 (152)
2020年 (116)
2019年 (78)
2018年 (157)
2017年 (4)
2016年 (1)
歯のことでお悩みでしたら、新大久保歯科医院まで。まずはお気軽にお問い合わせください。