ZERO BONE LOSS
快晴の土曜日、すっかり春らしい季節になりましたね。
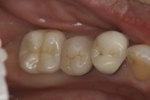
本日は、一月半ばにオペした方の最終補綴セット
ここ4年位は、上下共に6wでISQ値を計測し、値の下降なければ、ファイナルの印象し、2ヶ月未満でセットしてます
患者さんには、早く治療が終わるので非常に感謝されてます!

昨年夏に日本語訳版発売された、トーマス.リンケヴィチェス先生のゼロボーンロスコンセプト!

私も購入し読みました
私も、先生と同じメガジェン社愛用
凄く良い製品ですね!
治療成績が格段と!非常に!
良くなりました
古い概念、拘り、思い込み、バイアスは払拭しないといけませんね!
明日は日曜日、やっと休みだ
下半身強化に歩くぞー
須田寛昌
新大久保歯科医院


