虫歯でもないのに「冷たいものがしみる」「歯がしみる」「歯ブラシが当たって痛む」などの症状を歯の知覚過敏症といいます。
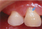
矢印のところが知覚過敏を起こしている部分。ふつうは見てもわからない。 水や空気をかけると痛い。おいしく食事ができなかったり、日常生活が不快です。
こすったり、さわったりすると痛い。ブラッシングにも支障をきたし、プラークがたまる原因にもなる。 こういうときも知覚過敏が起こる。強い歯ぎしりが原因で、歯の噛み合う面のエナメル質が削れて象牙質が露出している。
 
知覚過敏症の原因はいろいろな事が考えられています。ひとつは、歯槽膿漏によって痩せた歯ぐきから露出した根の表面が現れた場合。もうひとつは、歯ぎしりや食いしばりによって生じた象牙質の露出によって起こる場合があります。
 
なぜ歯がしみるのでしょう?
知覚過敏
一番多く見られるのが、就寝時の食いしばりによるものです。無意識による夜間の歯ぎしりやくいしばりは驚くほど歯にダメージをあたえます。
通常食事するときの数倍もの力でこすり合わせるので、歯の表面が著しく磨耗したり、ヒビがはいったりします。また、歯の付け根の部分がえぐれたりもします。そういう状態になると、虫歯でもない歯でもちょっとした刺激で痛みを伴うようになります。歯のなかには毛細血管や知覚神経が存在し、過度の刺激を受けると血管は充血し神経は敏感になります。これが知覚過敏です。
 
知覚過敏のある部分には象牙細管が開口していることをあきらかにした世界初の写真
 
知覚過敏のメカニズム
 
知覚過敏の治療
知覚過敏
知覚過敏抑制剤を塗る
軽度: 薬液(硝酸カリウム)の塗布。露出面のバリヤー。
中度: 夜間だけシリコンによるマウスピースを装着する
重度: 歯の神経をとる。
歯の神経をとることは最終手段です。
もし歯がしみるなと感じたら早めに歯科医に相談することをお勧めします。
お気軽にご相談ください。
出典:クインテッセンス出版株式会社『歯医者さんの待合室』
新大久保歯科医院