恩人の息子さん
本日は、私の娘が3歳から23歳の頃まで、家事全般、他諸々20年間大変お世話になった家政婦さんの息子さん
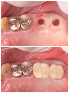
インプラントセット
ペリフィケーションインデックスでの印象
スキャンボディは複数本の場合は正確では無い為使わない コツだね




デンサーリフトで3ヶ月でセット💪
次の喜びは、歯性上顎洞炎
大した病巣ではないが、小さい内に芽を摘む
4か月経過。本日根充
耳鼻科副鼻腔の隣接領域は非常に興味ある


大したインパクトとはないが、嬉しいね
次は下6番の根充、4ヶ月経過
これも大したインパクトは無いが、昨年から大臼歯には白水のエンドシェーパー、グライダーを拘り使用
モリタの専用コントラ、800回転 1Nで使用
非常に楽、特に上のエンド3角、湾曲根管にはベスト


是非、使ってもらいたい‼️
手用では限界あり、治療成績にムラが出るからね
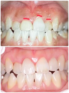
次は昨年セットした方
病巣も治癒、マージンラインの整合制がテーマ
歯冠延長術やら駆使


今日は、他諸々何かと興味ある症例ばかりだった
経過を診る、追うは我々臨床医G.Pには非常に大切
反省と自信の積み重ね‼️
それが経験になり、微動だにしない心と確固たる技術になるのだ
歯科はやり甲斐MAX!
す〜さんより
