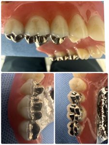
義歯セット
昼間に義歯セット
変則タイプ 笑
上はメタルプレートだが、下は保険の義歯
通常はやらないが、80代後半の方だから
やむを得ず
上と下は対で機能、ペアーですから!
詳細理由は割愛、従い自費専門技工所
日本キャストプレート社に無理を言って保険義歯作成して貰いました💦
コバルトクロムの立ち上げ!立派過ぎます
殆ど自費レベル ヒエ〜😱
保険義歯の技工所は、下手過ぎて依頼出来ないのが
現実
上手い技工士さんは、保険診療は一切受けません!
安い技工料金では、生活出来ませんから
それが現実なのです
患者さんは非常に得したが、こちらは😭技工料金は自費請求参りました😭
何れ、下はメタルアップします
老人は、切る穿通よりは、噛み砕く、すり潰す和食が好み
従い、形態も通常より丸みを帯びた形態にしてあります
正直、保険義歯では正常な食生活は無理
我慢に我慢、無理して装着し砕いて飲み込んでるだけ
諦めて飲み込み、それに慣れてしまってるだけです
慣れ程、怖いものはない!
嚥下造影レントゲン動画見ると違いがよく分かりますよ
大きな舌が、縮みこんで嚥下する
分厚いレジン床が邪魔している
嚥下ストロークが違いすぎる!
野球で言うと、マン振り出来てない状態です!
切れ味悪いレジン人工歯に分厚いバーにレジン床、負担かける設計等々、いつになっても日本は変われないね😭
愚痴、不平不満はほどほどに!
またね
🩷



