師走の土曜日、あともう少しで冬休み
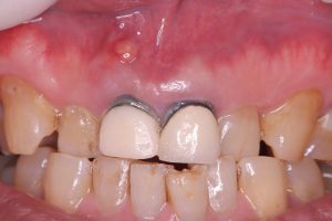
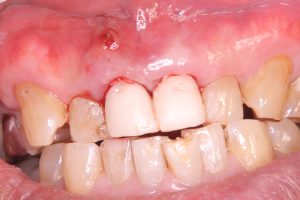
午前にインプラントオペ、ソケットシールド併用
抜歯即時、即時荷重仮歯まで予定
審美エリアだから、歯が無いと困る😅
径3.5 長さ18ミリ、径4.0 長さ18ミリ
ISQ80台、ITV70〜80台👍
6〰️8w後には印象だ💪
いつもフリーハンドだが、ドンビシャ!
顎骨形態が脳みそに染みこんでるからね
便利なCTソフト見てるからイメージが湧く
フラップレス切開無しno incision
午後は流し
早めに🐸🐘
気分はもう、冬休みかなあ
腰背中バリバリ凝っている
寒い🥶土曜日夕方
のんびりしましょう、ス〰️さんより🩷
2026.01.19
2026.01.15
2026.01.14
2026.01.13
2026.01.08
2026.01.03
2026.01.01
2025.12.29
2025.12.28
2025.12.27
2026年 (7)
2025年 (166)
2024年 (3)
2023年 (2)
2022年 (120)
2021年 (152)
2020年 (116)
2019年 (78)
2018年 (157)
2017年 (4)
2016年 (1)
歯のことでお悩みでしたら、新大久保歯科医院まで。まずはお気軽にお問い合わせください。