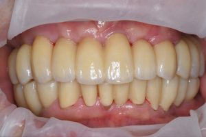
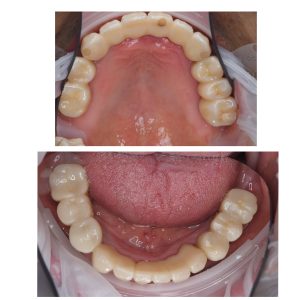
昨年フルマウスの方の定期検診
ネジの緩みもなく、値も良い
よく磨けている💪長持ちさせましょう!
インプラント顎骨形態、頭に叩き込む💦
見ていると、脳みそに染み込む🤪
すっ〰️と身体が反応するようになる!
歯医者冥利に尽きます
準備の充分無くして良い結果は生まれない‼️
準備1番☝️
サーファー社長と
悪酔いしそうだ🤪
菜の花から和え、大好き❤
今夜は具沢山豚汁で終わり
🩷💋ハグ
9時間は寝れる、ベッド🩷
す〜さんより
2026.02.16
2026.02.14
2026.02.13
2026.02.12
2026.02.08
2026.02.07
2026.02.05
2026.02.04
2026.02.03
2026.02.02
2026年 (26)
2025年 (163)
2024年 (3)
2023年 (2)
2022年 (120)
2021年 (152)
2020年 (116)
2019年 (78)
2018年 (157)
2017年 (4)
2016年 (1)
歯のことでお悩みでしたら、新大久保歯科医院まで。まずはお気軽にお問い合わせください。