収穫とポジショニング
朝から仮歯作成20本
合間に定期検査
50代美人の奥様、緊張します🤪
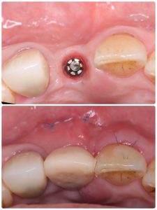
隔壁があり、難儀なデンサーリフトだったが、デンサーバーならではのリフティング💪
非常に良く安定している💪
今時、人工骨なんか使うは❌異物は洞内に入れない!
私もデンサーリフトで治して頂いた経験者‼️
間違いない!日本は遅れてるよね😭
全顎治療の方のインプラントポジショニング決め
仮歯作らないと、位置が決められない
位置決めが非常に重要‼️
20本作成し、シンプラトでプランニングし本決め!
11本埋入予定
腰が痛い、ボケ防止には手作業1番☝️🤪
1w前のリムーブに埋入、移植しボリュームアップに根面被覆
生着してるね💪やはりS.B被覆は治癒が早い‼️
既に上皮化している
ネクローシス壊死させるようでは、ダメダメ👎
反省点あり、次回に活かします🤪
ユックリノンビリ、週末は過ごそうっと
今日も良く働いた🤪
新大久保歯科医院








