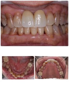
今日で終わり、定期検査に移行の方
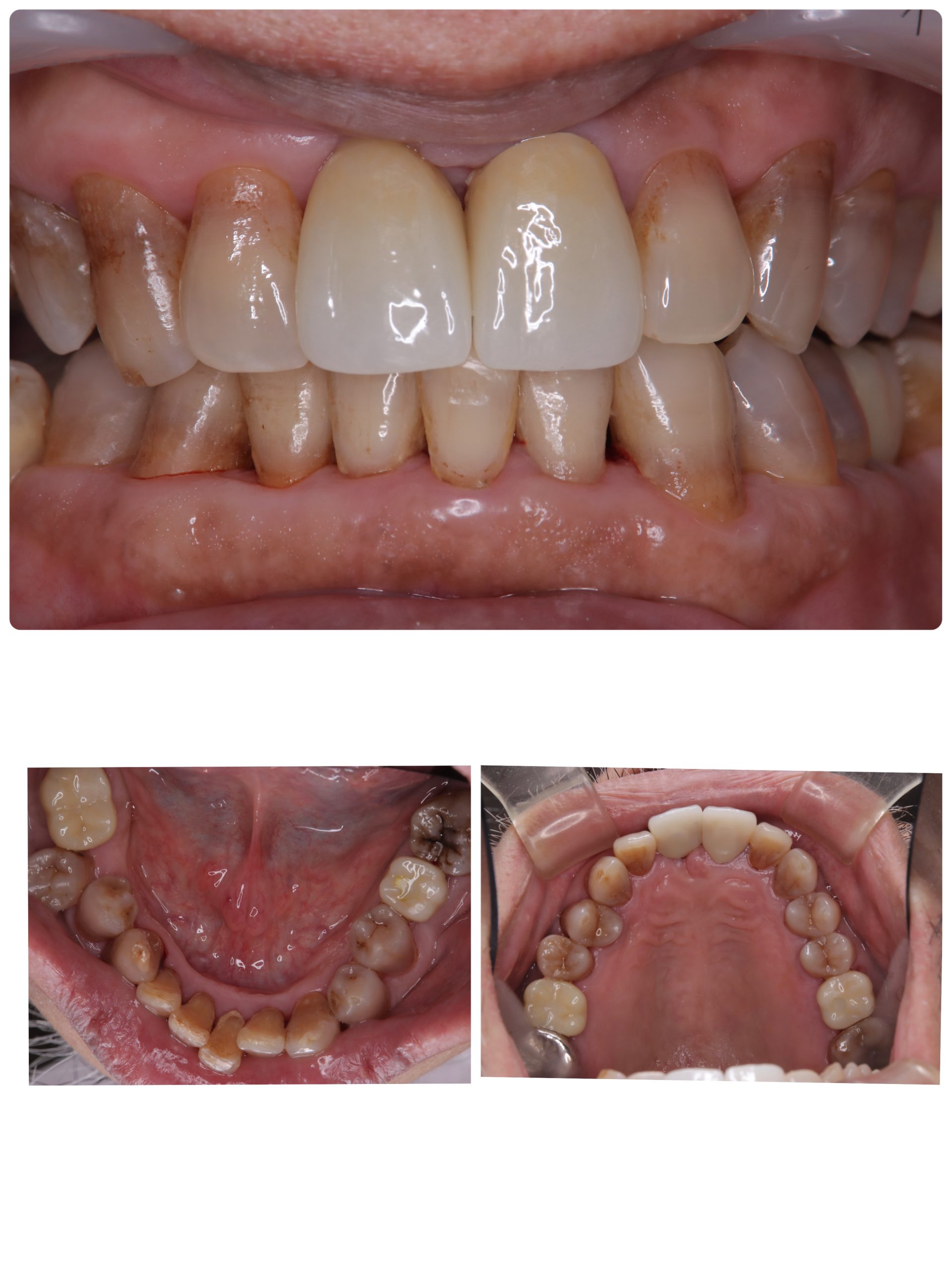
インプラント5本、内ソケットリフト2本
今後の観察は、左上下6.7番隣接の骨が如何に増えるか!?動揺はだいぶ減少している💪
EMDにCGFメンブレン使用(再生治療)
後は経過観察
本日は午前中で終り
午後は軽く70発捻転運動、天気も良く、気分転換には最高です!
明日は重要案件あり、下痢ら豪雨が治まるのを期待しよう、これから一杯🍺焼酎🍷3杯かなあ🤪
クールダウンの為に生きてるス〜さんより
2026.03.13
2026.03.05
2026.03.03
2026.02.28
2026.02.26
2026.02.24
2026.02.21
2026.02.20
2026.02.19
2026.02.18
2026年 (37)
2025年 (163)
2024年 (3)
2023年 (2)
2022年 (120)
2021年 (152)
2020年 (116)
2019年 (78)
2018年 (157)
2017年 (4)
2016年 (1)
歯のことでお悩みでしたら、新大久保歯科医院まで。まずはお気軽にお問い合わせください。