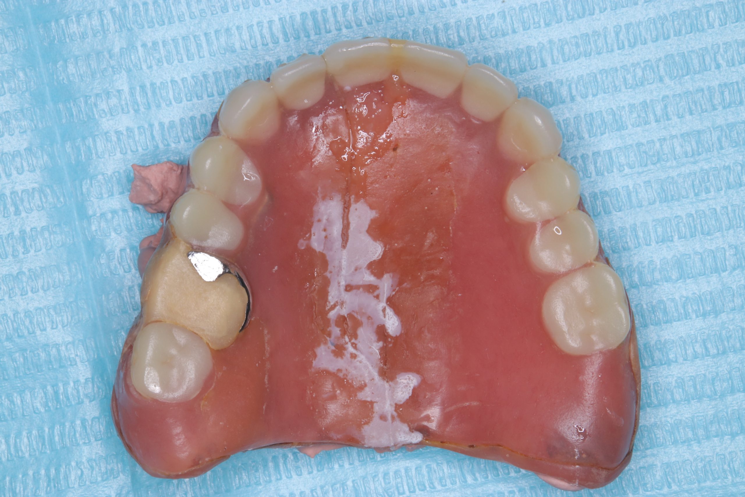
義歯の破折
上のフルが真ん中辺りから、真っ二つに破折
原因は、機能咬頭が摩耗によりモンソンカーブがアンチモンソンカーブに!
真ん中に応力集中し破折
良くある事例
アロンアルファで固定
キサンターナ石膏で裏面固定
補強線9本入れ
下の義歯、舌房広くし咬合面カービングし上はレジン添加し噛み応え与えて、バランス調整
後にリライニングし終了!僅か50分で終わる💪
患者さん、喜んで帰りました
大切な知人の紹介でしたから、即時改造料金はサービス🤪
レジン歯はダメなのであるる😭
明日から10月、張り切ってヤルゼ‼️
2026.02.14
2026.02.13
2026.02.12
2026.02.08
2026.02.07
2026.02.05
2026.02.04
2026.02.03
2026.02.02
2026.01.31
2026年 (25)
2025年 (163)
2024年 (3)
2023年 (2)
2022年 (120)
2021年 (152)
2020年 (116)
2019年 (78)
2018年 (157)
2017年 (4)
2016年 (1)
歯のことでお悩みでしたら、新大久保歯科医院まで。まずはお気軽にお問い合わせください。