日本キャストプレート社
週始めの月曜日
なかなか天候が優れませんね〜
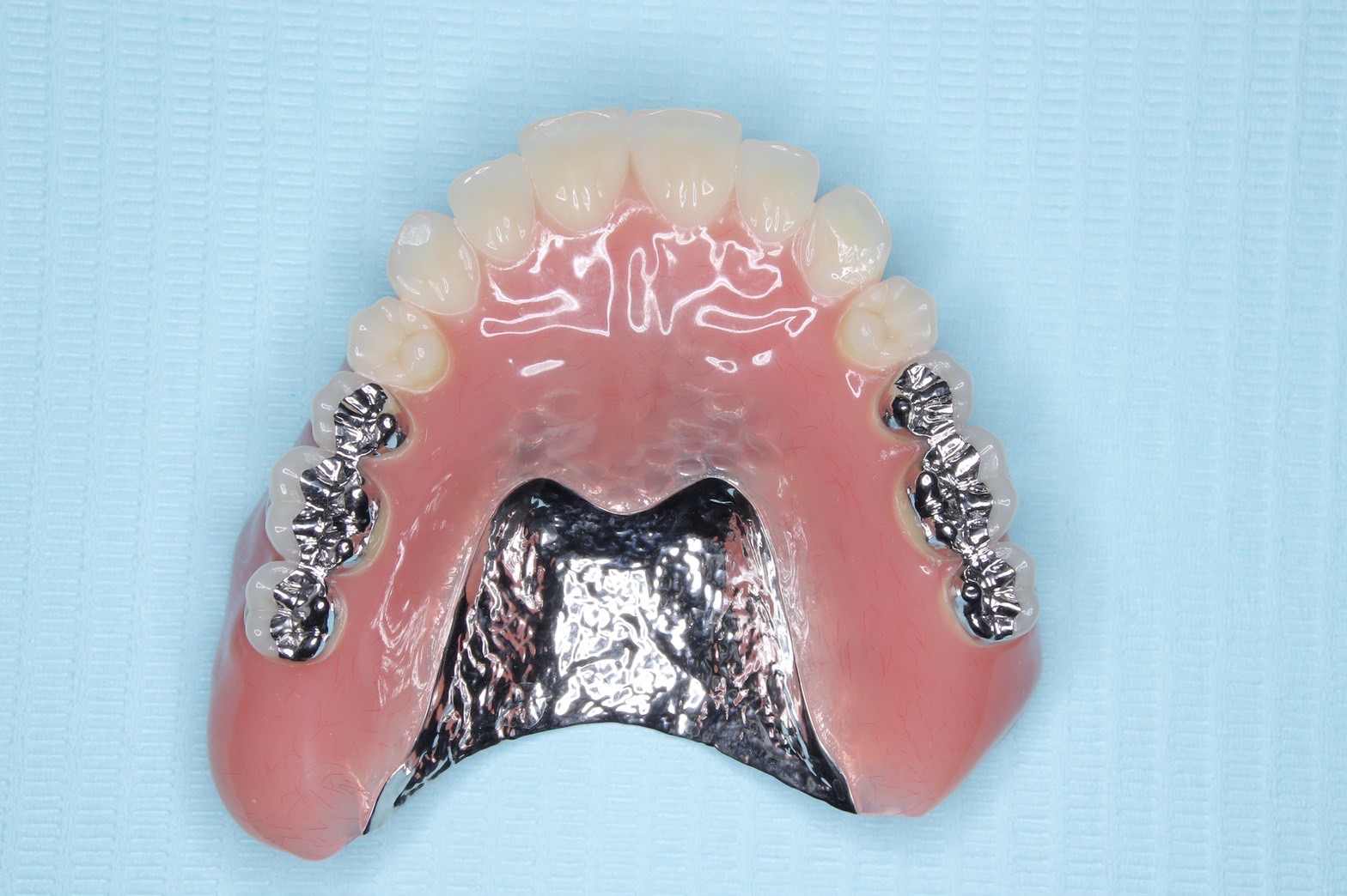
本日は、フルデンチャーのセットがありました
最近、義歯の患者さんは、少なくなりました。
それだけ、日本人の口腔衛生状態が良くなってきてるんですよ!

患者さんは、元来嘔吐反射が強く、保険義歯が分厚く、嚥下し難い為に、今回は薄いメタルプレートを希望されました
床の厚みが、2から3ミリの保険レジン床から0.5ミリ位の薄さに変わり嚥下ストロークはスムーズに!
嚥下機能は非常に大切!
肺炎で亡くなる方の内、誤嚥性肺炎の割合は非常に高いです!
従い、元気な内に歯科治療はしておきたいですね
正しく医食同源!
更に、人工歯も切れ味鋭いメタルアップ処理してますから、噛み合わせもレジン歯のように直ぐに摩耗し噛み合わせ低下による、不バランスが起こる事はありません!
良い事尽くしの治療です 笑
技工会社は、日本を代表する
日本キャストプレート社
(旧日本タイコニウム社)
義歯のカリスマ 亡村岡博先生が創業された会社を同志の方々が引き継いだ会社であります

精度が全然違います!
仕事が綺麗、エクセレント!
安い、ソコソコの技工所とは雲泥の差であります 納得!
たまには、義歯の治療も新鮮で刺激あります
仕事は常に刺激と緊張!
須田寛昌




