GW中の4月最終日 本日は新大久保での診療
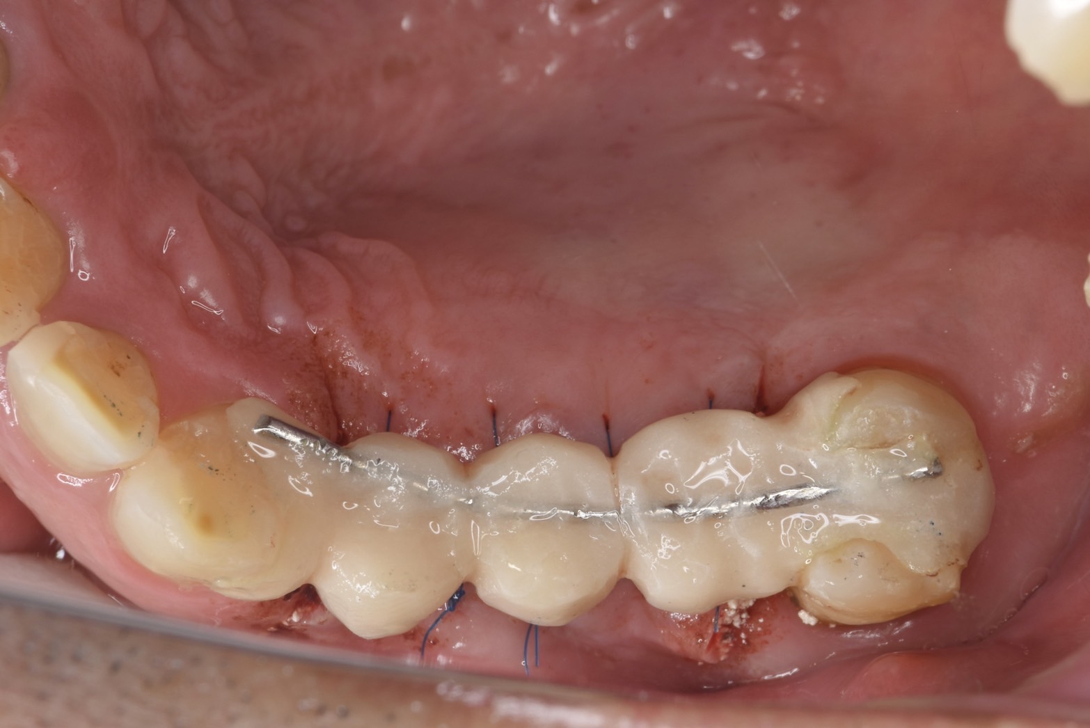
昨年暮れに右上4.6番にデンサーバーのみでのソケットリフトした方の最終セット
今回装着したサイズは直径6ミリと7ミリサイズ 表面積は179と216mm2 単独植立可能な径4.0ミリ長さ10ミリの152m2より断然表面積が大きく、ブラキッサー、クレンチング(歯軋り、食いしばりの方)による、インプラントネック部にかかる負担軽減にはsuperwideは必須です 私もアバットメント、スクリューの破折の経験がありますから
連休は頭の体操少しやり、あとはノンビリしようっと! 嬉しいなあ!
須田寛昌
2026.03.13
2026.03.05
2026.03.03
2026.02.28
2026.02.26
2026.02.24
2026.02.21
2026.02.20
2026.02.19
2026.02.18
2026年 (37)
2025年 (163)
2024年 (3)
2023年 (2)
2022年 (120)
2021年 (152)
2020年 (116)
2019年 (78)
2018年 (157)
2017年 (4)
2016年 (1)
歯のことでお悩みでしたら、新大久保歯科医院まで。まずはお気軽にお問い合わせください。