ジンジバルカウンツァー
本日は冬晴れ、こんにちは須田寛昌です。
寒くなると布団から出るのは難儀になりますね〜今朝は9時間熟睡、寝過ぎて寝坊 笑っ
3年ぶりに来院する、私と同い年の患者さん。
4年前に右上5.6のソケットリフトされた方です
現在の手法とは違い、人工骨β-Tcpを多方面から、めい一杯填塞した時の画像

1週間後、抜糸時の画像
内圧を減ずるベント設置してるお陰で肥厚も僅かですね!

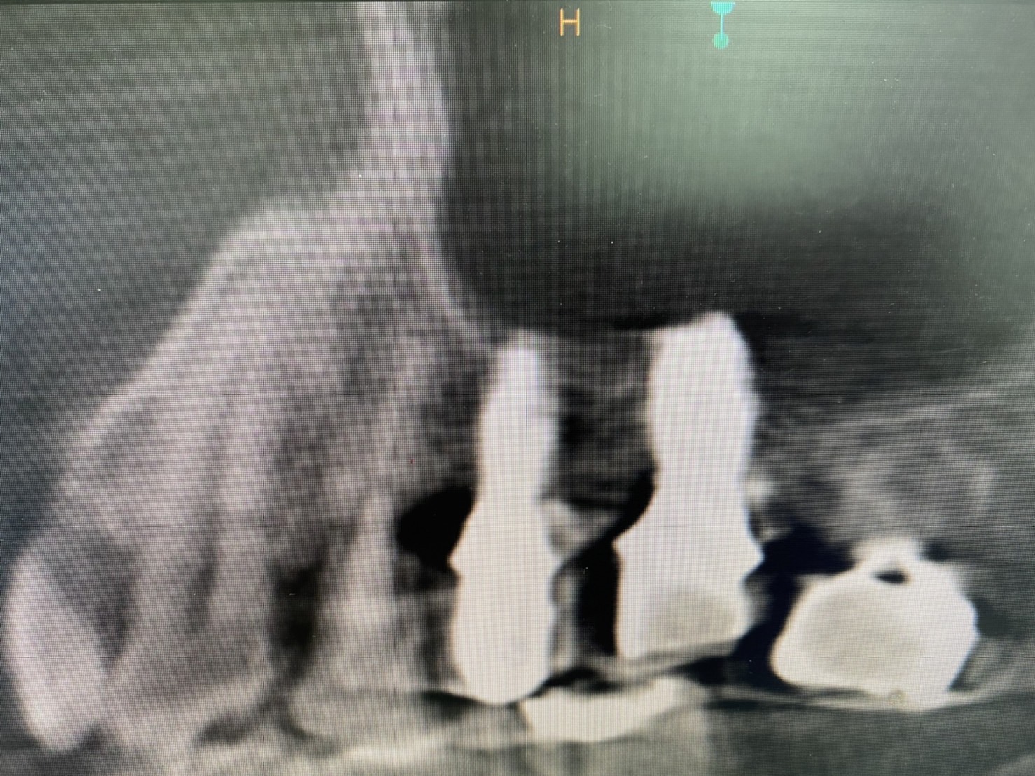
4年後の本日の画像
填塞した人工骨は吸収され、本体フィクスチャーの周りは紙一枚の自家骨が巻き付いている状態です
今は、粘膜肥厚はありませんが、時に耳鼻科医が上積みの骨が無い為に、突出と誤りがちなケースです
だからと言え、なるべくは異物の人工骨な極力使いたくないですね!
今見て顧みると、侵襲が大きいなあ、現在はデンサーを使い自家骨だけでの挙上が可能ですね!
さらに、歯肉の形態、ジンジバルカウンツアーも綺麗に維持され、内面にも汚れ、出血も無く、良く維持されてるのが分かります
色々と患者さんの症例から学ばされますね
今夜はイルミネーション撮影に行こう
ブーン、ブーン!
笑っ




