低位咬合
どんよりした曇り空の朝、気持ちは明るく臨みたい週始めですね。
須田寛昌医師の本日の症例報告に興味深いケースがあります。
奥歯の低い噛み合わせが要因で、左顎関節痛を起こし、口の開口時や噛み締め時に顎が痛くて動かせないと3ヶ月前に来院された患者さん。
日常生活にも支障あり、先ずは問題の『咬筋』噛み締めを遮断して痛みを取る治療からスタートしました。
レジンアップや、夜間時装着の前方スプリントなどの治療方法で痛みの寛解に至り、
本日がファイナル補綴物のセットに
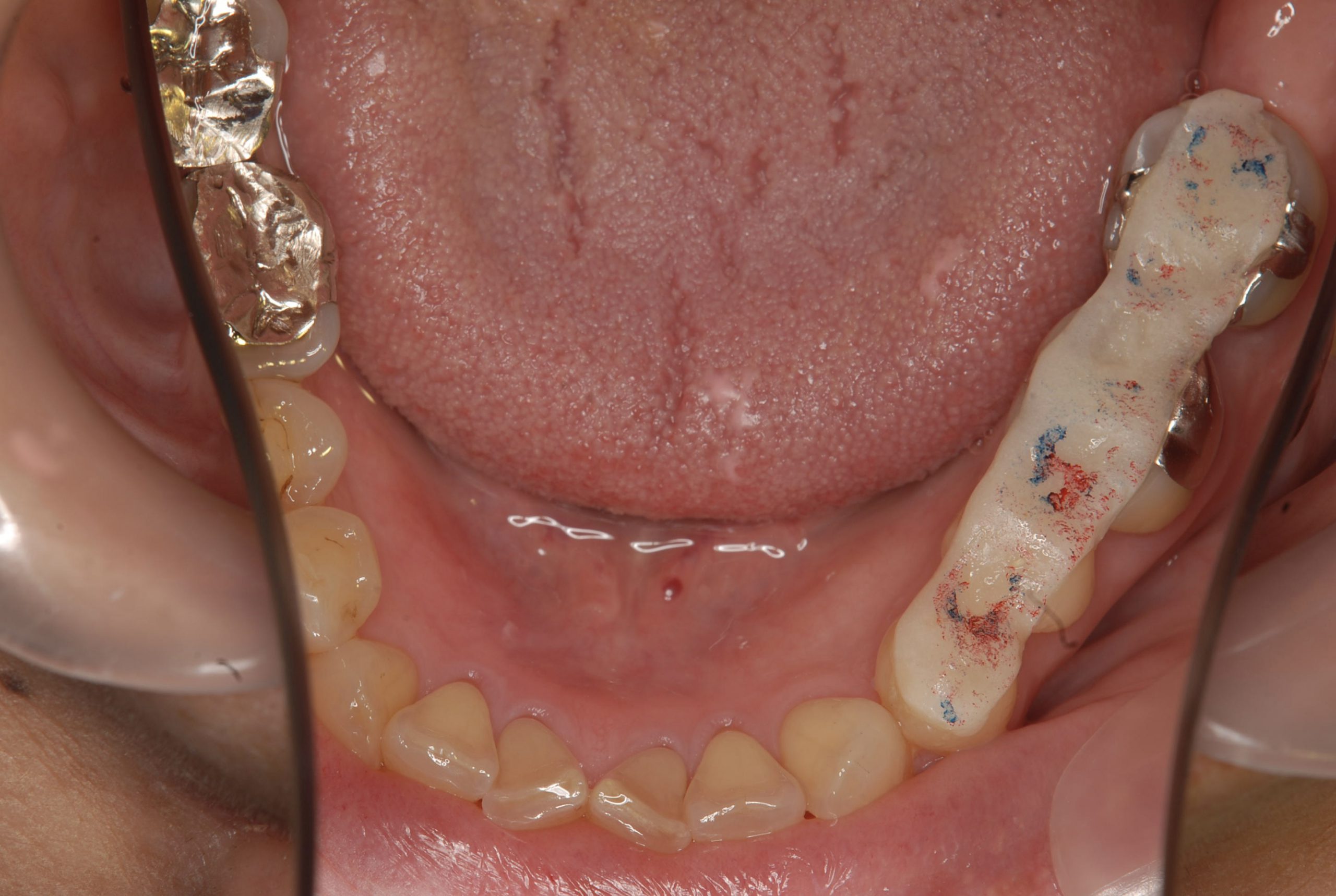
下の画像は噛み合わせ時の正面画像ですが、、
前歯の接触がない為、歯冠高径と前方基準となるジグを治療時には装着し確認しながら行われたそうです。基準をしっかり把握する『診断』を出来る医師はどのくらい存在するのでしょうか?私は、こんな治療を見るたび彼の治療に対する熱意と執念(笑っ)に敬服します
顎関節症がらみの症状は実に女性がダントツに多いのは、、更年期障害、血流の悪さ等、様々な因子が絡み合ってくるからですね
顎顔面の体操、ストレッチ、トリガーポイントの刺激やリハビリ、、
非常に重要ですねd( ̄  ̄)
須田寛昌医師の尊敬する故下川先生の教えが光ます!
院長





