今朝はインプラント3本のオペがありました。なかなか難儀な土壌形態でしたが、暫間インプラント付きの仮歯も入れ、咀嚼は不自由ない状態にまでもっていきました。
さらに午後は、今年1月にソケットリフト併用インプラントオペの方の上部構造装着が。
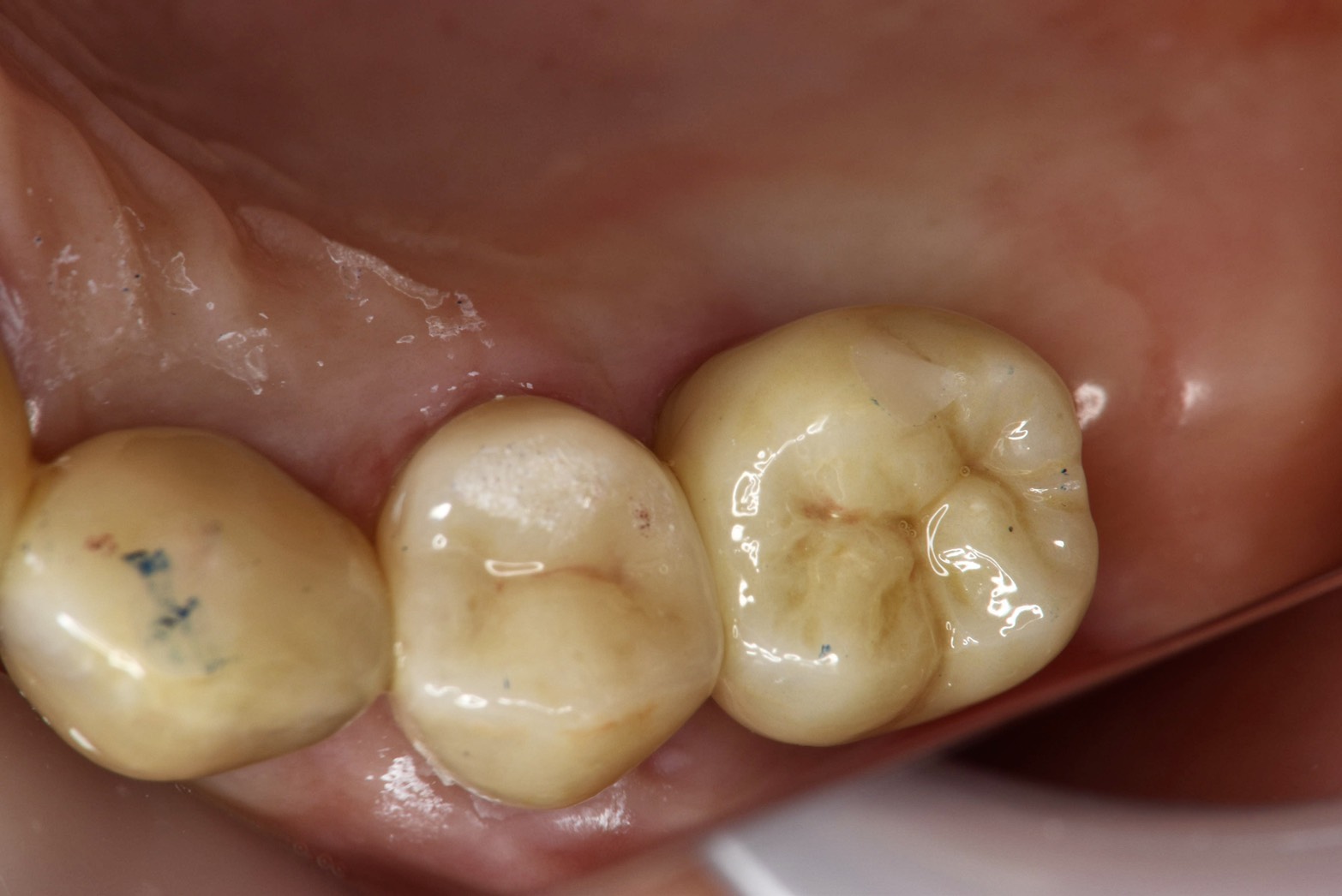
右上は画像からも分かる様に、残存骨1〜2ミリでしたが僅か4ヶ月未満で終了し、大変うまくいきました。 秘密兵器、デンサーバーのお陰です(^_-)
左上は昨年12月にオペをして本日印象し次回装着し完了となります
患者さんの期待に応える為にもスピード感は非常に大切な要素ですね
須田寛昌
2026.01.19
2026.01.15
2026.01.14
2026.01.13
2026.01.08
2026.01.03
2026.01.01
2025.12.29
2025.12.28
2025.12.27
2026年 (7)
2025年 (166)
2024年 (3)
2023年 (2)
2022年 (120)
2021年 (152)
2020年 (116)
2019年 (78)
2018年 (157)
2017年 (4)
2016年 (1)
歯のことでお悩みでしたら、新大久保歯科医院まで。まずはお気軽にお問い合わせください。