Go.Go.Go.!
過ごしやすい日が続きますね
引き続き須田寛昌ですヽ(^o^)
毎日睡眠8時間、平日は禁酒にしてる為、心身共に絶好調!
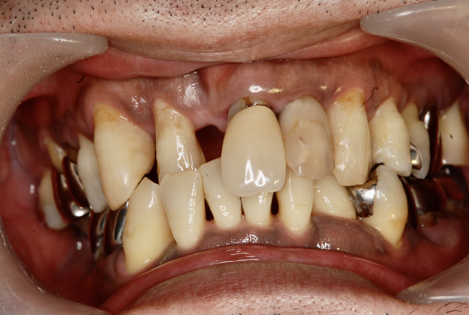
本日の患者さんは、右上前歯、1番が先天性欠損があり、審美改善の為にインプラント治療を希望されました。

2番を抜歯し2歯欠損になりますが、骨幅が狭過ぎて、1本しか埋入できないので、力の弱い2番ダミーのカンチレバータイプのプリッジになります。
練習通り、狙い通りの位置に!
径3.5ミリ、長さ18ミリを埋入
方向、傾斜、深度共にバッチリ(^_-)v

密着値、埋入トルク値も非常に良く、即座に仮歯をスクリューリテインで装着
延長タイプの場合は、仮着セメント外れやすいですからね
患者さんの期待と夢に応えるべく、良い結果を出していきます d( ̄  ̄)
新大久保歯科医院

